Thứ Ba, 21-09-2021
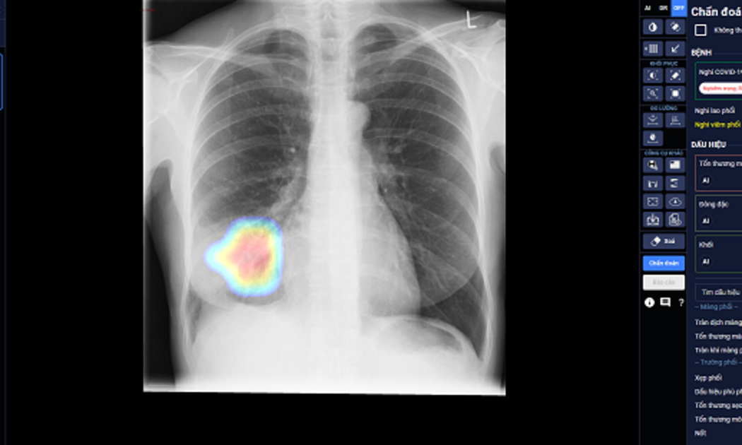
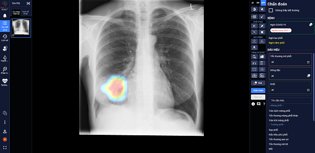
DrAid – Công cụ sàng lọc và tiên lượng điều trị COVID-19 ứng dụng AI đầu tiên tại Việt Nam
DrAid cho COVID-19 - sản phẩm ứng dụng Trí tuệ nhân tạo (AI) của Công ty Cổ phần VinBrain (thuộc Tập đoàn Vingroup) – vừa được Hội đồng Khoa học Bộ Y tế nghiệm thu và đặc biệt kiến nghị nên sớm đưa vào sử dụng hàng ngày tại các bệnh viện trong giai đoạn COVID-19 đang tiếp tục lây lan như hiện nay. Đây được coi là một công cụ hỗ trợ sàng lọc và tiên lượng điều trị COVID-19 mới hữu hiệu, góp phần chủ động dự phòng và kiểm soát dịch hiệu quả.



















